Displazija kukova jedna je od najčešćih ortopedskih bolesti kod pasa, osobito kod srednjih i velikih pasmina. Riječ je o razvojnom poremećaju zgloba kuka koji se ne razvija pravilno, što dovodi do nestabilnosti, nepravilnog opterećenja i postupnog trošenja zglobnih struktura. Iako se problem može razvijati već u ranoj dobi, simptomi često postaju vidljivi tek kasnije, kada su promjene već uznapredovale. Upravo zato displazija kukova predstavlja podmukao problem – razvija se polako, ali ima dugoročne posljedice na kretanje i kvalitetu života psa.
Što je displazija kukova
Displazija kukova razvojna je anomalija zgloba kuka pri kojoj glava bedrene kosti i zglobna čašica nisu pravilno usklađene. Umjesto stabilnog i glatkog pokreta, dolazi do nepravilnog kontakta između zglobnih površina, što uzrokuje njihovo trošenje.
Takvo stanje dovodi do postupnog razvoja degenerativnih promjena, uključujući osteoartritis, koji je glavni uzrok boli i smanjene pokretljivosti kod zahvaćenih pasa.
Važno je naglasiti da se displazija ne pojavljuje odjednom, već je riječ o procesu koji se razvija kroz vrijeme, često bez jasnih znakova u početnim fazama.
Kako nastaje problem
Genetika ima ključnu ulogu u razvoju displazije kukova, no nije jedini faktor. Na razvoj bolesti značajno utječu i uvjeti u kojima pas odrasta.
Nepravilna prehrana, prebrz rast, prekomjerna tjelesna težina te neadekvatno opterećenje u razdoblju razvoja mogu dodatno pogoršati stanje zglobova.
Kod mladih pasa problem često započinje kao blaga nestabilnost zgloba, koja s vremenom dovodi do sve izraženijih promjena i oštećenja. Upravo ta početna faza najčešće prolazi nezapaženo.
Simptomi koje vlasnici često zanemare
Simptomi displazije kukova mogu biti vrlo suptilni, osobito u ranim fazama bolesti.
Pas može pokazivati:
otežano ustajanje nakon odmora
ukočenost, osobito ujutro ili nakon ležanja
smanjenu želju za kretanjem
šepanje stražnjih nogu
izbjegavanje skakanja ili penjanja
slabiju razvijenost mišića stražnjih nogu
Kako bolest napreduje, simptomi postaju izraženiji, a bol sve prisutnija.
Pas koji sporije ustaje ili izbjegava kretanje možda već osjeća bol.
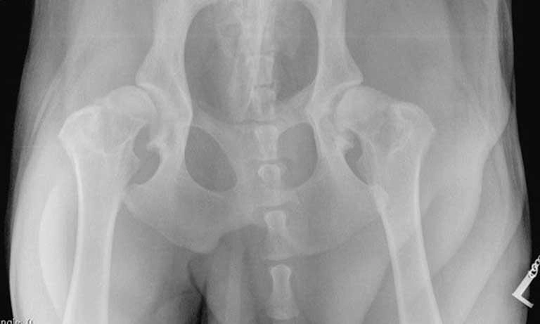
Kako se postavlja dijagnoza
Dijagnoza displazije kukova postavlja se kombinacijom kliničkog pregleda i dijagnostičkih metoda.
Veterinar će procijeniti pokretljivost zgloba, prisutnost boli i opće stanje psa. Konačna potvrda bolesti dobiva se rendgenskim snimanjem, koje jasno pokazuje stupanj promjena na zglobu kuka.
Rano otkrivanje bolesti izuzetno je važno jer omogućuje pravovremeno uvođenje terapije i usporavanje napredovanja bolesti.
Liječenje ovisi o stupnju bolesti
Ne postoji jedno univerzalno rješenje za displaziju kukova.
Terapija se uvijek prilagođava težini stanja i individualnim potrebama psa.
Kod blažih oblika bolesti naglasak je na konzervativnom pristupu, koji uključuje:
kontrolu tjelesne težine
prilagodbu fizičke aktivnosti
lijekove protiv boli i upale
dodatke prehrani za zglobove
fizikalnu terapiju
Kod težih slučajeva može biti potrebna kirurška intervencija, uključujući korektivne zahvate ili ugradnju umjetnog kuka.
Može li se spriječiti
Iako se displazija kukova ne može u potpunosti spriječiti, njezin razvoj i težina mogu se značajno ublažiti odgovornim pristupom.
To uključuje:
kontrolirani uzgoj i testiranje roditelja
pravilnu prehranu tijekom rasta
održavanje optimalne tjelesne težine
izbjegavanje pretjeranog opterećenja kod mladih pasa
Prevencija ne znači potpuno izbjegavanje bolesti, ali može imati presudnu ulogu u kvaliteti života psa.
Najveći problem je kasno prepoznavanje
Jedan od najvećih problema kod displazije kukova jest činjenica da vlasnici često prve simptome pripisuju umoru, lijenosti ili starenju psa.
Zbog toga se bolest nerijetko otkriva tek kada su promjene već značajne i kada pas već trpi kroničnu bol.
Displazija kukova razvija se tiho, ali posljedice su dugotrajne.
Displazija kukova ozbiljna je i dugotrajna bolest koja zahtijeva pravovremeno prepoznavanje i kontinuiranu skrb. Iako se ne može u potpunosti izliječiti, pravilnim pristupom moguće je značajno ublažiti simptome i omogućiti psu kvalitetan i aktivan život. Ključ uspjeha leži u ranom otkrivanju, odgovornoj brizi i redovitoj suradnji s veterinarom.
